おかげさまで開設25周年VINCESANDY.FR 創業祭

VINCESANDY.FR

詳しくはこちら
マイストア マイストア 変更
  • 即日配送
  • 広告
  • 取置可能
  • 店頭受取

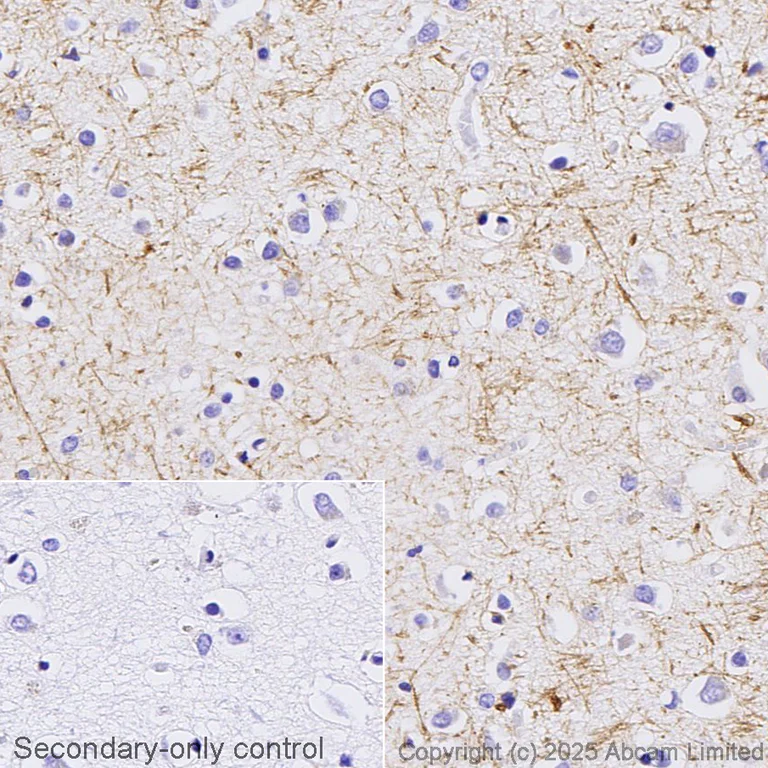
HOT ! 専用ページY188 Anti-Amyloid Precursor Protein 抗体 [Y188] (ab32136) | Abcam

※VINCESANDY.FR 限定モデル
YouTuberの皆様に商品の使い心地などをご紹介いただいております!
紹介動画はこちら

ネット販売
価格(税込)

52999

  • コメリカード番号登録、コメリカードでお支払いで
    コメリポイント : 6ポイント獲得

コメリポイントについて

購入個数を減らす
購入個数を増やす

お店で受け取る お店で受け取る
(送料無料)

受け取り店舗:

お店を選ぶ

近くの店舗を確認する

納期目安:

13時までに注文→17時までにご用意

17時までに注文→翌朝までにご用意

受け取り方法・送料について

カートに入れる

配送する 配送する

納期目安:

2025.12.20 4:4頃のお届け予定です。

決済方法が、クレジット、代金引換の場合に限ります。その他の決済方法の場合はこちらをご確認ください。

※土・日・祝日の注文の場合や在庫状況によって、商品のお届けにお時間をいただく場合がございます。

即日出荷条件について

受け取り方法・送料について

カートに入れる

欲しいものリストに追加

欲しいものリストに追加されました

専用ページY188 Anti-Amyloid Precursor Protein 抗体 [Y188] (ab32136) | Abcamの詳細情報

Anti-Amyloid Precursor Protein 抗体 [Y188] (ab32136) | Abcam。Amazon.com: Engine ECM Control Module Fits 18-19 fits Mazda 6 CX-5。51ioiwMF5+L._AC_UF894,。Anti-Amyloid Precursor Protein antibody [Y188] - Low endotoxin。No.U15(アナイクス) 4300円口タイプ:①
  • Anti-Amyloid Precursor Protein 抗体 [Y188] (ab32136) | Abcam
  • Amazon.com: Engine ECM Control Module Fits 18-19 fits Mazda 6 CX-5
  • 51ioiwMF5+L._AC_UF894,
  • Anti-Amyloid Precursor Protein antibody [Y188] - Low endotoxin

同じカテゴリの 商品を探す

ベストセラーランキングです

このカテゴリをもっと見る

この商品を見た人はこんな商品も見ています

近くの売り場の商品

このカテゴリをもっと見る

カスタマーレビュー

オススメ度  4.6点

現在、3126件のレビューが投稿されています。